Atención Abierta: Lunes a Viernes - 8:00 am a 7:00 pm / Sábado: 8:00 am a 12:00 pm

PROCEDIMIENTOS QUIRÚRGICOS

CIRUGÍA RESECTIVA

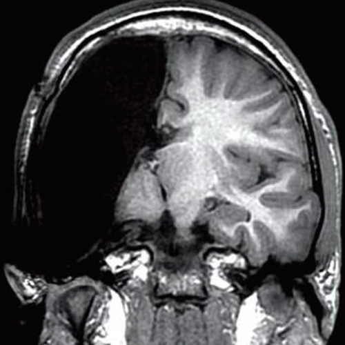
• Lobectomía temporal anterior estándar:

  • Es el procedimiento quirúrgico realizado con más frecuencia en el mundo. Está indicado en pacientes con epilepsia refractaria del lóbulo temporal, en donde se ha determinado una adecuada correlación clínica, eléctrica e imagenológica. En algunos casos se plantea una cirugía de menor extensión como la llamada amigdalohipocampectomía selectiva, este procedimiento se realiza generalmente cuando el paciente tiene una epilepsia localizado en el lado dominante del paciente es decir en lado donde está localizado el lenguaje.
service-image


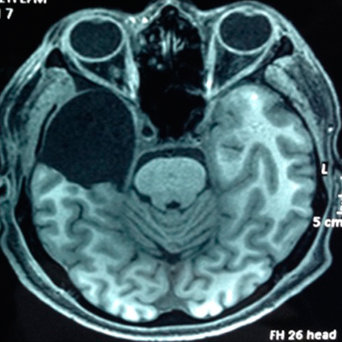
• Lesionectomía ampliada guiada con electrocorticografía:

  • Para manejo quirúrgico de epilepsia de difícil control relacionada a displasias corticales, tumores del neurodesarrollo o gliomas de bajo grado y cavernomas.
service-image


CIRUGÍA PALIATIVA

• Callosotomía (anterior, posterior, completa):

  • Es un procedimiento paliativo de desconexión entre ambos hemisferios cerebrales, puede mejorar el control de las crisis epilépticas. Está indicado principalmente en crisis atónicas o las llamadas drop attacks / head drops.
service-image


• Colocación de estimulador del nervio vago:

  • Es otro procedimiento paliativo indicado principalmente en epilepsias multifocales. Es otro procedimiento quirúrgico paliativo donde colocamos un estimulador en el nervio vago a nivel de la región del cuello junto a un generador de impulsos en la región axilar.
service-image


OTROS PROCEDIMIENTOS QUIGÚRGICOS

• Colocación de electrodos profundos y/o mallas subdurales para estudios de fase II:

  • Estudios invasivos necesarios para determinar la zona de inicio ictal y plantear en algunos casos de mayor complejidad una cirugía resectiva.
service-image


• Hemisferectomía funcionales:

  • Indicado en síndromes hemisféricos como encefalitis de Rasmussen, hemimegancefalia, síndrome de Sturge Weber, alteraciones de la migración neuronal, etc.
service-image